Pain after wisdom teeth removal is normal. Taking out a wisdom tooth is a part of dentistry that tends to be at one extreme or another - wisdom tooth removal is usually either quite easy and straightforward, or else rather difficult, complex and risky. And there is always the risk of a dry socket afterwards. Wisdom teeth usually start causing problems in your late teens or early twenties.

Every patient of mine panics a little when I tell them that they need a wisdom teeth extraction. But most of the time, there's no need to panic at all - a lot of the time, wisdom tooth removal can be quite straightforward!
Dentists call wisdom teeth "third molars". Most wisdom teeth can be removed under local anesthesia as an outpatient procedure, with a short recovery time.
So what are the things that make wisdom teeth surgery either easy or difficult? And, why would you have pain after wisdom teeth removal? There are several factors to take into account when we look at the removal of wisdom teeth ;
I'll take these potential problems in order;
1. Upper tooth or lower tooth?
Simply put, upper wisdom teeth are generally MUCH EASIER to remove than lower wisdom teeth. This is because of two things;
First, how dense the surrounding bone is.
And Second, what space there is behind the wisdom tooth. The upper wisdom tooth is surrounded by thin egg-shell thin bone. This means that it is not held in place very securely. The bone around it is thin and also NOT DENSE, and there is enough room to rotate the tooth backwards. These two things make the tooth relatively easy to remove.
AND - added to that, the upper wisdom tooth does not have any bony structures or obstructions behind it. So there is nothing to prevent the tooth from moving backwards, away from the tooth next to it. Therefore, the upper wisdom tooth is NORMALLY quite easy to remove, by rotating it slowly backwards and downwards out of its socket.
2. Is it under the gum? Or has it come through the gum?
If the wisdom tooth is completely buried under the gum, then it is a little more challenging to remove. We have to make an incision through the gum, and peel it back so the tooth can be seen.
Usually in this case, the tooth is ALSO surrounded by bone, and we then have to drill away the collar of bone around the tooth in order to free it, and allow it to be removed.
- BUT THERE IS A PLUS POINT!
- after the removal of the wisdom tooth, the gum around the surgical area will go back together with a couple of stitches (sutures), and heal up very quickly!
On the other hand, if the tooth is already through the gum, then it is easier to see and less likely to have a lot of bone around the neck of the tooth, holding it in. So it is not usually as difficult to remove as one that is under the gum.
3. If the tooth is through the gum, how much is visible? If it just the tip of a cusp or two, then the tooth is mostly still under the gum, and not easily visible.
At the other end of the scale, a wisdom tooth may have grown up through the gum and actually be standing up above the level of the neighbouring teeth. This means that there is LESS ROOT still in the jaw bone, so the tooth is not held in the bone very securely, and therefore more easily removed.
4. Is the tooth sitting upright like the neighboring tooth, or is it angled or tilted? Obviously, the wisdom tooth will be easier to remove if it is upright rather than if it is tilted.
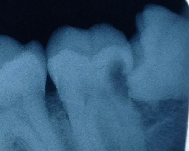
5. Is the tooth jammed against the next door tooth? We call it "impacted". If it is, then things get difficult.
Impacted wisdom toothIn the picture above, you can make out the wisdom tooth on the right side, tilted over and jammed up against the next door tooth. And it has caused a cavity in the side of the neighboring tooth. Both teeth will have to be removed.
When a wisdom tooth is jammed against the next one, it is automatically tilted and also in tight contact with that next tooth. So there is no room for the tooth to move. How on earth do we get that tooth out?
Well, there are several tricks of the trade that we can use! Imagine a tooth that is angled at 45 degrees against the next tooth. It is held in place by that tooth next door, and on the other side by a dense bone collar. So we have to make room for the tooth to move.
Usually, the oral surgeon or maxillofacial surgeon will first remove the top one third of the tooth, thereby removing the contact with the next door tooth. Then he will drill away the collar of bone around the tooth, particularly from behind the tooth, to allow the tooth to wiggle and then move backwards and rotate up and out.
6. Is the tooth near any nerves? This really only applies in the lower jaw, where a BIG nerve runs along the middle of the lower jaw bone. It's usually in a bony tunnel. But a wisdom tooth can interfere with the nerve in a couple of ways:
First of all, it can sit just above the nerve channel. But when the oral surgeon manipulates the tooth, it may press on the nerve before it comes out, causing nerve compression. The nerve will usually recover in one to twenty weeks, but you will have a tingling sensation in your lower lip and/or tongue on that side of your mouth during that time.
Secondly, the root of the wisdom tooth may have grown around the nerve channel; This makes it very difficult to remove without affecting the nerve, making it a serious surgical procedure. There is a high risk of a numb tongue.
7. Can the dentist or oral surgeon get to the tooth easily? Is it covered by the patient's tongue? Does the cheek tissue fall over the tooth? Does the patient have a small mouth, or cannot open their mouth very wide? The surgical site is always at the back of your mouth, which is not easy for a dentist to get to.
All these things make the job of removing a wisdom tooth even more difficult, as if it wasn't difficult enough already!
8. Are there any other complicating factors, such as general medical conditions or difficulty with anaesthesia? These problems can include;
With regard to anesthesia, most wisdom teeth can be removed with local anesthetic. But the more difficult impacted wisdom tooth surgery cases are usually treated with iv sedation, nitrous oxide, or under full general anesthesia, so you don't know what's going on, and it's all over when you wake up!
9. How many wisdom teeth need to be removed? If all 4 wisdom teeth need to be removed, this is rarely done under local anesthetic. Usually the wisdom teeth will be removed over 2 appointments, extracting the upper and lower wisdom teeth on the right hand side first (say), and a few weeks later the wisdom teeth on the left side.
Removing all 4 wisdom teeth at one appointment usually means a general anesthetic in the dental department of a hospital.
After the wisdom tooth removal you should be holding a gauze pad over the socket, and you should get some pain medication from your dentist or oral surgeon. For the next few days you should only have soft foods - I have written a page about this after my own experience getting a tooth removed. Remember - avoid spicy foods, such as curry!A degree of wisdom teeth removal swelling and pain
 is quite normal. The big question is HOW MUCH IS NORMAL? There’s no one easy answer to this, as it depends on several factors. But there is ONE factor that is ALWAYS CRITICAL.
You should ALWAYS be able to swallow quite normally, AND you should be able to breath normally. ALWAYS.
If you are having trouble with either of these things, you should see a doctor or dentist as quickly as you can; you will probably need antibiotics. If the swelling is bad enough, you may even need to be admitted to hospital for treatment. 
So let’s get back to what is a NORMAL degree of swelling or pain. Even severe pain can be normal, and managed with painkillers, even with codeine for a few days. As I said, there are several factors to take into account!
An extracted wisdom tooth with a bent root
- difficult to remove in one pieceWe can take a look at these factors in two sections;
Before wisdom teeth are removed, the dentist or oral surgeon will always make an assessment of the degree of difficulty. Quite simply, the more difficult the procedure, the higher the risk of wisdom teeth removal swelling or pain. Any oral surgery will have these risks.
If there is infection around the wisdom tooth, there will be bacteria under the gum, and the gum will be swollen even before the tooth is removed. In this case, the dentist will normally give you some antibiotics BEFORE the removal, or even ON THE DAY. This should help to prevent infection and swelling after the tooth has been extracted.
Next, if the wisdom tooth is an impacted tooth, tilted or jammed against the neighbouring tooth, the dentist will have to remove some of the bone around the wisdom tooth, to give it some room to move as he takes it out. Surgical bone removal is always traumatic for the tissues, and there will be INFLAMMATION around the tooth socket afterwards. The healing process will take a bit longer, but wisdom teeth removal recovery is always a little unpredictable.
This inflammation is NOT caused by bacteria, but by the trauma of the surgical bone removal. So in this case antibiotics will not help. The inflammation may cause swelling around the outside of your jawbone; this can be helped by using a cold pack on the OUTSIDE of your face, over the swelling, and by taking anti-inflammatory medication such as ibuprofen or diclofenac. Also gently rinsing with warm salt water.
Finally, you might get some additional problems if the tooth is difficult to get to, and you have to stretch your mouth open wide or the dentist has to do it for you, which can traumatize the gum, cheek and tongue in the area of the wisdom tooth socket. This will also cause inflammation of the tissues, leading to swelling. But what about the things
 that happen AFTER wisdom tooth removal that can lead to wisdom teeth removal swelling?
The main one is INFECTION. This is more common for wisdom teeth in the LOWER jaw than for the upper jaw. Why is the lower jaw more commonly affected? There are 2 main reasons. First, and most importantly, the jaw bone in the lower jaw is MORE DENSE than the bone of the upper jaw.
This means that it has fewer blood vessels, so the blood supply is more restricted. In turn, a poorer blood supply means that you have less “immune system” going through the area. And so bacteria have a better chance of getting a foothold and setting up an infection in the tissues. Your immune response in that little area is overwhelmed.
The second reason why the lower jaw is more likely to get an infection after a tooth extraction is down to GRAVITY. It’s much easier for bits of food debris to fall into an extraction socket on the lower jaw. In the UPPER jaw, the bits tend (usually) to fall out.
What can you do to help PREVENT wisdom teeth removal swelling?
You can’t do much about how your wisdom tooth is sitting in your jaw, nor tight it is against the next tooth. But, there are a couple of things you CAN do to minimize your chances of problems after a wisdom tooth has been removed.
On the day of your wisdom tooth surgery, you should rinse around your mouth with a good quality antibacterial mouthwash - for 60 seconds. Time yourself! Do this first thing in the morning, and then again JUST BEFORE going to the dentist’s office.
I recommend the TheraBreath oral rinse. By doing these things you will REDUCE the levels of bacterial plaque in your mouth, and so reduce your chances of bacteria setting up and infection.
Second, AFTER the surgery, there are 2 tricks:
1. The most important thing is to NOT DISTURB the gum where the tooth was removed. Most of the time, after wisdom tooth surgery, you will have a couple of stitches (sutures) in the gum, to help close the socket, and a gauze pad to bite on.
We want a blood clot to form inside the socket, and fill it up. If you disturb that blood clot, you run the risk of the clot coming out, leaving an empty socket behind.
NOW the stage is set for food debris to get lodged in there, which becomes infected with bacteria, subsequently infecting the bone of the socket and the gum. OUCH! THEN you get a wisdom teeth removal swelling! SO DO NOT DISTURB THE CLOT!
Simply, DO NOT go rinsing around the area with mouthwashes or water OR ANYTHING in the first 24 hours. If you want a drink, that’s fine - BUT just swallow it straight down; don’t swish it around your mouth before swallowing.
Other things you could do which would disturb that initial blood clot would be to poke your tongue or your finger around the gum where the tooth was. RESIST the temptation! The best course of action is to JUST LEAVE THE AREA ALONE for 24 hours minimum.
2. The other thing to avoid is smoking. To be honest, for this to help, you’d have to give up smoking for at least a month BEFORE your surgery. That’s because the problem with smoking is that it interferes with the blood supply within the gums.
It’s not the smoke on the gum that’s the problem. It’s the affect that smoking has on your blood capillaries. It narrows the blood capillaries. So less blood gets through the gum tissues, and so poorer and slower healing processes after a tooth extraction.
SO, for best chances of a trouble-free surgery, STOP SMOKING at least a month before your wisdom tooth surgery. (Or ANY surgery, for that matter.)
I have seen and heard of a few other recommendations, such as avoiding hot drinks, not drinking milk, and avoiding cold drinks. NONE of these makes much sense; if there IS any benefit from them, it would be TINY compared to the main things I have written about above.
What if you ALREADY have a jaw swelling after getting a wisdom tooth removed?
Here’s my short list of what to do!
First, make sure that you can breath OK and that you can swallow OK. Those are the most important things. If you are having problems swallowing or breathing, contact your dentist or oral surgeon as soon as possible. If you can't contact them, go to your nearest ER.
If you can breath and swallow like normal, the next thing to do is to apply a cold pack to the skin on the OUTSIDE of your face, directly over the swelling. You can use a dedicated cold pack like a “physiopak” from the pharmacy, or you can use a bag of frozen peas (or similar) from your own freezer.
IMPORTANT: put a thin cotton cloth over the skin, to separate it from the cold pack, to avoid skin damage. ALSO, only hold the ice pack in place for a maximum of 8 minutes. Remember - NO LONGER than 8 minutes, otherwise you risk frostbite! You can repeat this cold pack treatment every 2 hours.
In addition, you can apply some heat to the gum INSIDE YOUR MOUTH. The easiest way to do this is in between the cold pack sessions, by using some warm salt water.
Just use a half teaspoon of normal table salt in a cup of HOT water - but be careful NOT to burn yourself! Just take a mouthful of the hot salty water, and GENTLY rinse it around the extraction site for 10 seconds or so, until you feel the water cooling down a little.
Then SPIT IT OUT, and take ANOTHER mouthful, and do the same. You should get 4 to 5 mouthiness out of a cup. Repeat this treatment every 2 hours, in-between the cold packs on your face.
REMEMBER - NEVER PUT ANYTHING HOT ON THE OUTSIDE OF YOUR FACE - it could draw infection (if present) into the tissues of your face.
Finally, you should take some anti-inflammatory medications. The simplest over-the-counter drugs are ibuprofen and diclofenac. Ask your pharmacy for their recommended doses. If you are having real problems with swelling, your doctor or dentist may prescribe steroids.
IbuprofenNumbness of the lip or tongue can be a complication of lower impacted wisdom teeth removal.
If there is evidence of infection in the jaw, then you will need antibiotics. Exactly WHICH antibiotic will depend on the bacteria that are present. Frequently your dentist can take a swab and send it to the laboratory for sensitivity testing, which will show which antibiotic will work best.
Unfortunately it can take 24 hours for the results to come back, so you might start out on Amoxicillin initially until the lab tests are returned.
Pain after wisdom teeth removal may be a significant problem for you after getting one or more wisdom teeth removed. The risk is ALWAYS there. We can never cut the risk to zero, BUT if you follow your dentist’s advice carefully and follow my recommendations, you will minimize your risks.