Pain After Root
Canal Treatment



Pain after root canal treatment is very disappointing. You've already had the toothache (sometimes severe pain), gone through the hours of root canal procedure, paid the fees and now you still have pain!What on Earth could be the matter?

Getting a root canal is the alternative to tooth extraction and getting a dental implant. The success rate is usually around 95%. But there are a number of things that can cause pain after root canal therapy. As with any dental procedure, some of them may be preventable, some of them can be treated and will get better, but there are a few that cannot be fixed. Find out which is which in this run-down of the common reasons of pain after root canal.

How can you tell if your pain after endodontic treatment will settle down with a little time, or whether you need to get something done to fix the problem? OR if the problem CANNOT be fixed? Read on below to find out all about the possible causes of pain following root canal treatment!

A woman wearing a blue top holding her right cheek in painPain after root canal

Pain After Root Canal Treatment

1. Infection in the bone around the affected tooth root is a possible cause of pain after root canal treatment .

You may have had perfect root canal treatment, carried out by a root canal specialist (endodontist) with a rubber dam over the tooth. The tooth roots have been cleaned out, sealed properly, and the tooth built up with a permanent restoration such as a great filling or a dental crown (cap).

But if bacteria are still in the bone around the root, it will be inflamed and you may experience pain. This will normally settle down on its own in a couple of days, once the tissue inflammation has reduced. Most of the time, over-the counter pain medications will give you relief.

Without a source of infection (the dead nerve in the root canal), the bacteria have nowhere to hide, and your own immune system will deal with the infection. You can speed things up with a course of antibiotics. Take a look at tooth abscess antibiotics.

An X-ray of teeth with a black area over the root of one toothInfection on a root tip

2. Infected root canal. A root canal can get infected again after it has been treated. Find out more at the infected root canal page.

The level of pain will depend on the degree of infection. The first step will be to get some antibiotics.

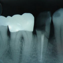
3. Canal overfill. Sometimes pain after root canal can be caused by the root filling material being forced out of the tip of the root. Whether this causes any pain or not depends on whether there is any "room" for the material or not, what the material is, and how much escapes and where it goes.

An X-ray of a molar root filling, showing the white lines inside the roots of the toothmolar root filling

In the image above, there is a small amount of filling paste extruded out of the tip of each root. It is the little white blob on each root tip.

If you have had an infection in the root of the tooth for a while, the bone around the root resorbs a little, and there is a small empty space around the root tip. So if a little dental cement gets out of the root tip, it's unlikely to cause a problem.

On the other hand, if the tooth has not had any infection around the tip of the root, there will be hardly any space for any excess cement. Even a small amount of cement will cause a degree of discomfort and moderate pain in the treated tooth.

At the other extreme, if a LOT of cement is forced out of the tip of the root, it can set up an inflammatory reaction that can cause a lot of pain. This may take a few weeks to settle down. If there is a LOT of excess cement in the bone around the root, the cement may need to be removed with a surgical procedure.

Pain After Root Canal Treatment

4. Hypochlorite incident. During root canal treatment, the tooth roots are washed with a dilute bleach solution (also called sodium hypochlorite). This is the normal "standard of treatment", and has the following benefits;

  • It kills most bacteria inside the tooth.
  • It dissolves any remaining tags of nerve tissue inside the tooth.
  • It washes away the slurry that builds up during root canal treatment.

But sometimes (rarely) some bleach solution can escape out of the root tip into the surrounding tissues. Normally, this causes immediate sharp pain, even under local anesthetic.

The dentist will normally flush the tooth out with distilled water, dress it, and prescribe antibiotics and prescription pain relievers. But the area will still be painful for some weeks.

A dental X-ray of a broken toothcracked root

5. Cracked root - vertical fracture. This is bad news, I'm afraid. If the root of a tooth is cracked, it is pretty much impossible to fix. Despite several visits to the dentist for disinfectant dressings and courses of antibiotics, the tooth refuses to settle down.

It's tender to bite on, and the gum over it may be tender too. Unfortunately the only solution is to remove the tooth.

To see what this looks like, have a look at cracked tooth root photos.

Photo of a split tooth on a green paper backgroundsplit tooth

6. Final filling or crown "too high" or too big. You may get pain after root canal because the filling or crown is a fraction too big, and hits the opposite tooth too heavily when you bite. You can read more about these two possibilities at Tooth Pain After Filling and Tooth Pain After Crown.

A high temporary filling is easy and quick to adjust. The root treatment may be perfect, but if the tooth is being bitten on too much, it becomes painful. The solution is relatively easy - the dentist needs to adjust the filling or crown slightly. Once he removes the "high spot", the tooth will settle down, although it can take 3 to 5 days.

Pain After Root Canal Treatment

7. A tiny bubble of Air being forced out of the root tip. Some dentists use a root filling system called Thermafil or SoftCore. These are excellent systems, and help general dentists to treat the more complex cases.

However, if used carelessly, it is possible (in rare cases) for a tiny bubble of air to be trapped under the root filling as it is pushed into place. This gets pushed out of the tip of the root, causing pressure for a short time. This can be painful for a few days until everything settles down.

8. Missed canal anatomy. The space inside the tooth that is treated during root canal is very tiny. In a lot of teeth there are several spaces or "canals". Some of them can be very hard to detect, especially in a molar root canal. There may be a second root canal when the dentist could only find one. The tooth root system can be very complex.

It is possible for a dentist to miss a canal. This means that there will either be a little bit of nerve left behind inside the tooth, or else a small space where bacteria can live, causing an infection.

In the first case, the tooth will be sensitive to hot and cold, mostly to hot things. In the second case the tooth will be sensitive to pressure. This will not settle down on it's own. The root canal treatment needs to be re-done, preferably by an expert endodontist.

Pain After Root Canal Treatment

9. Multiple apical deltas harboring infection inside the tooth. This is the most unfortunate of all. The tooth is not cracked, it is still solid. The root treatment has been carried out with skill and precision. The tooth has been sealed up and restored with a crown.

But after a bit, the tooth becomes painful to bite on. In a way, this is similar to the situation above, because it is due to tiny spaces harboring bacteria.

But these are spaces that are microscopic, and there are several of them, in the 3 millimeters at the tip of the root.

Sometimes this can be successfully treated by an expert endodontist (root canal specialist), either by re-doing the root canal, or else by surgically removing the tip of the root. More on this at root canal surgery. But only sometimes. Otherwise, the tooth will need to be removed.

You can read about the signs of a root canal failure and symptoms of a failed root canal here.

These are the main causes of pain after root canal treatment. There are some others, but they are rare. Post root canal pain normally only lasts a few days, and then settles down. If it lasts longer than 3 to 5 days, I suggest contacting your dentist again for a review.

If you are in a lot of pain, there is a very specific regime using over-the-counter products that provides a high level of pain control: take 600 mg of ibuprofen (3 standard Advil tablets) WITH 1000 mg acetaminophen (2 Extra-Strength Tylenol), and repeat every 6 hours as needed.

Don't exceed 3 grams of acetaminophen (6 Tylenol tabs) a day, and don't take it in combination with alcohol. Do not use this if you have a peptic ulcer, or liver/kidney disease. This should help your pain for now.

2023

You might like these

Back to Top


  1. Dental Advice
  2. How Is Root Canal Done?
  3. Pain After Root Canal Treatment