Dental Veneers Before and After



Here is a gallery of photos of dental veneers before and after, showing the improvements and changes that can be achieved with dental veneers. A veneer is a thin shell of dental porcelain that fits over the visible front face of your tooth or teeth, to improve the size, shape, position and color of the tooth.

Of course, with these laboratory-made porcelain veneers, you normally have to wear temporary veneers while the work is being done.

Some of these cases have been done by me personally, while others have been done by top-flight dentists in the USA.

Here are some of my own dental veneers before and after photos, with all laboratory work being done by Keating Dental Arts in California.

Patient 1

crooked upper front teethBefore

This young lady (above) did not like how uneven her teeth were, and she didn't want to spend the time on braces, so we straightened out her smile with 8 veneers.

Six dental veneers on the upper front teethAfter

Above, we have managed to get her teeth straight and level, and also whiter! We bleached her other teeth with a take-home tooth whitening kit , to match up the color.

Patient 2

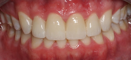
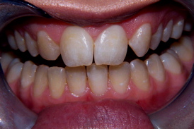
Yellow upper front teeth with the lateral incisors missingBefore

This young lady was getting married soon, and wanted to improve her smile. She had the 2 little incisors missing on either side, so the eye teeth (canines) had moved forward over the years into the gaps. We did some laser gum treatment to get an even gum line - the photo above is after the laser.

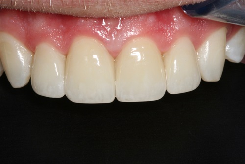
Upper front teeth with six porcelain dental veneersAfter

I had to trim the 4 front teeth down quite a bit, so that we could make the 2 big front incisors look smaller, and the 2 big eye teeth look like small lateral incisors. Her cheek teeth were quite small, and we only had to do minimal preparation to get veneers that were in proportion. Of course, we went for whiter teeth too!

Dental Veneers Before and After

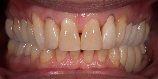
Patient 3

Worn down upper front teeth with a chipped crownBefore

This man was unhappy about his short front teeth that he had ground down from teeth clenching at night, and also didn't like the old cap on the front tooth, with the grey edge.

Upper front teeth with six dental veneersAfter

So first we did some tooth whitening to lighten up all his teeth, and then we fitted 10 veneers to the upper teeth, replacing the old crown at the same time.

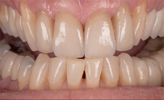
Patient 4

Crooked upper front teethBefore

This student didn't like his teeth crossing over at the front, and the uneven appearance of his upper teeth. He wasn't interested in braces, and wanted veneers to improve his smile.

Upper front teeth with four porcelain dental veneersAfter

We only had to put veneers on the 4 front teeth in order to straighten up the smile. The other teeth needed to be whitened to match, but he wasn't concerned about doing his home whitening quickly - he did it over 3 months to get it all matching up in the end!

The next cases were carried out by other dentists across the world.


Patient 5

dental veneers before and after"Before" at the top, and "After" at the bottom.Image courtesy of Dr. Hurramascher

This case was done by a dentist colleague, Dr. Hurramascher. The patient felt that her front teeth were too short, and did not show up well when she smiled. The 8 front teeth were fitted with veneers, to lengthen the front teeth and slightly shorten the side teeth. The results are great!


Patient 6

dental veneers before and after"Before" is at the top, and "After" is at the bottom

Dental Veneers Before and After

Patient 7

Another case by a colleague online, showing how uneven, tilted and stained teeth can be transformed by dental veneers. The young lady was thrilled with the results!

dental veneers before and afterBefore - close-up; Image courtesy of Dr. Calvin Bessonet of South Louisiana
dental veneers before and afterAfter - close up; Image courtesy of Dr. Calvin Bessonet of South Louisiana
dental veneers before and afterBefore; Image courtesy of Dr. Calvin Bessonet of South Louisiana
dental veneers before and afterAfter; Image courtesy of Dr. Calvin Bessonet of South Louisiana

This case above by Dr. Calvin Bessonet shows how dental veneers can look extremely natural. The patient here wanted the gaps closing and all his front teeth in line.


Patient 8

dental veneers before and afterBefore; Image courtesy Dr. Chad Perry

In this case, Dr. Chad Perry has solved some problems with the 4 front incisor teeth; First, the dark space between the middle teeth where the gum has receded slightly over the yeras. Second, the old crown on the upper right (as you look at it) which is too white. And thirdly the acrylic temporary crown on the upper left lateral incisor, to replace an old crown that had fallen off.

dental veneers before and afterAfter; Image courtesy Dr. Chad Perry.

In the "after"image above, you can see how Dr. Perry has closed the dark space between the middle teeth, and matched the colors with the 2 new crowns on the lateral incisors. The 4 front teeth now look much better and more "natural" than before.


Patient 9

Below are before and after photos of work done by Doctor Duval in Dubai.

dental veneers before and afterImage courtesy Doctor Duval in Dubai

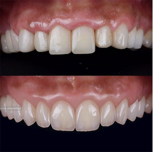
In the top image, you can see old veneers that are too bulky and not very lifelike. In the lower image, you can see the amazingly realistic ceramic veneers!


Another set of images from Dr. Duval below.

dental veneers before and afterImage courtesy Dr. Duval in Dubai

In the upper picture the old veneers look rather square and bulky, and the gums are also swollen, probably due to the material used in the veneers. The lower image shows amazingly realistic veneers.


Patient 10

The next case shows how veneers have been used to eliminate slight spacing between the front teeth.

dental veneers before and afterImage courtesy AestheticsByAndi

There are 10 veneers across the upper teeth. Any spaces have been filled in, and the color is whiter. A much more even appearance!

These dental veneers before and after photos illustrate what can be done with veneers.

Back to Top

  1. Dental Health Advice
  2. Veneers for Teeth
  3. Dental Veneers Before And After