Best At Home
Teeth Whitening



The best at home teeth whitening system, Auraglow, is available at Amazon. You get dentist-quality whitening gels, resulting in safe and reliable tooth whitening, but Auraglow is less expensive than the cost of getting a kit directly from a dental office.

BUT you have to do nearly all of the work yourself, at home. Essentially, you can cut out the "middle man" (the dentist), and save money while still getting good results.

(Disclosure; I will receive a small commission if you buy any Auraglow products through my links.)

It may seem strange for me, as a dentist, to be recommending a product that doesn't need a dentist! But I believe in "telling it straight", and I have found that Auraglow that is simple to use, is safe, and gives whitening results that are almost as good as most other products.

It may not be the best teeth whitener if you want very quick whitening, or you want full-on Hollywood "bling" white; but I think the price makes it very well worth a look.

Best At Home
Teeth Whitening

To understand why I think Auraglow deserves to be considered for home use, we need to take a quick look at why dentist-supplied products work so well, and why over-the-counter teeth whitening gels from a pharmacy or other store just don't work well at all.

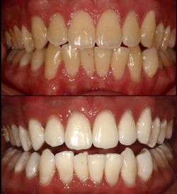
before and after photos of tooth whiteningImage courtesy Dr. Rod Kurthy

Here we go. There are really just TWO things that affect how well tooth whitening works.

  • One of them is the formula for the actual teeth whitening gel - how strong is it? Does it lose it's strength if it's left on the shelf for long? And will it make your teeth sensitive?
  • The other one is HOW the gel is applied to the teeth. Is it protected from saliva? Can it leak out, away from the tooth surfaces?

The dentist-supplied products have both areas covered; they use custom-made splints or trays that fit over your teeth very accurately. They get a great seal at the gum edges, all the way round. This concentrates the gel right where you want it for best effect.

And because they fit so well, they prevent saliva getting in, diluting the gel, AND they prevent any gel from leaking out and getting on your gums.

This also means that the gel can be stronger, so you get more whitening. In addition, the gels from a dental office will have a longer shelf-life, and have a lower risk of tooth sensitivity.

Best At Home
Teeth Whitening

On the other hand, the pharmacy-supplied "boil and bite" kits that you can buy over the counter do NOT fit anywhere near as accurately as the dentist-supplied splints. They do not have a good seal at the edges. They can leak. And there is no light or heat acceleration.

  • This means that over-the-counter whitening gels have to be weaker, because they are going to leak out. AND saliva can leak in under the splint, diluting any gel that does remain.
  • Auraglow is a system that takes the advantages of some aspects of dentist-supplied systems, but without a dentist. 
  • And it has an LED light to accelerate the process.
A man with a tooth-whitening blue light device in his mouth.A blue LED light unit

And that is the key point.

If you take the dentist out of the mix, you are also cutting out the "middle man". You deal direct with the manufacturer. And that is how it works out to be much less expensive. There are no dentist fees to pay!

I think that this combination of "dentist quality whitening" combined with low prices puts Auraglow up there with other whitening products for the title "best teeth whitener". And it was designed and developed by a dentist.

So how does this all work? Actually, it is surprisingly simple. I wish I had thought of it myself! Here are the steps:

First, you have to go to the AMAZON link HERE.  Have a look at the system, and read the reviews. Then you can place your order right there.

A few days later, you will receive a package from GLO. This contains all the materials you need to whiten your own teeth. The system is easy to use, and comes with full, easy-to-follow instructions. I think it is well-explained.

Start whitening!

Best At Home
Teeth Whitening

Some tips from me;

  • First, It is very important to make sure that you place enough gel in the splint.
  • Second, when you put the splint over your teeth, BE SURE that it fits snugly. The Auraglow system uses 35% carbamide peroxide gel as the whitening agent. You can read more about this HERE.
  • Third, the LED system shuts down automatically after 8 minutes. The company recommends that you do FOUR (4) sessions of 8 minutes each day.
  • Fourth, MY FINAL TIP is to brush your teeth carefully before applying the whitening gel. UNLESS you are having a problem with sensitivity. In this case, DO NOT brush and floss just before whitening.

The whitening results will be almost as good, but without sensitivity. However, I have not found sensitivity to be a problem with the GLO teeth whitener system.

If you DO get sensitivity, take a look at my Tooth Whitening Sensitivity page for tips on how to stop this problem.

Over about 10 days, your teeth will gradually become whiter. One of the things I like about home teeth whitening is that you are in full control. You can start and stop the whitening treatment anytime you want.

When you think the color is OK, you stop the treatment, and put your spare gel in the refrigerator. (Actually, you should ALWAYS store your gel in the refrigerator!)

Keep the whitening system safe and away from any heat sources. After 6 months or so you may notice a slight loss of whiteness from your teeth. Just get out your gel and LED tray system again - usually 1 or 2 days will get your whiteness back to where you want it!

The best at home teeth whitening system?

If you're willing to do most of the work yourself at home, I think it's worth checking out Auraglow at Amazon.  There ARE other whitening systems that work almost as well (or maybe slightly faster OR get a tad more whitening), but they are more expensive. To find out about alternatives, visit Best Teeth Whitening Products.

Back to Top


  1. Dental Advice
  2. Teeth Whitening
  3. Best At Home Teeth Whitening