Temporary Dental Veneers
- a 'Snap On Smile'



You may be wondering HOW temporary dental veneers can help you. After all, why not just fit the new ceramic veneers straightaway?

SIMPLE

Sometimes, you can improve your smile with "clip on veneers", which are a type of temporary dental veneer that you can put over your teeth yourself, and take out yourself.

You don't even have to go to a dental office to get your new snap on smile, because companies like Shiny Smile Veneers offer a home kit. This saves you time, visits to a dental office, and money. Read on to find out more, and what to look for when choosing  snap on veneers.

But first, let's look first at WHY we may want to make up normal temporary veneers when you are getting conventional ceramic veneers in the first place. There are 3 basic reasons;

  • We need to protect the teeth that have been drilled down during the veneer preparation procedure, otherwise they would be very sensitive.
  • We need to make your teeth look normal while the new ceramic veneers are being made up in the dental lab.
  • We want to "test-drive" the shape, size and position of your new teeth, if you are getting veneers to straighten out your smile. Temporary dental veneers are the ideal way to do this.

Temporary Dental Veneers

For most normal dental veneers, made from a type of dental ceramic (or "porcelain"), we need to shave down the outer surfaces of the teeth to be veneered. This is especially so if the teeth are quite crooked, and we are doing veneers to straighten up the teeth.

There are some exceptions to this, such as the snap on smile style of temporary dental veneers, which I talk more about a bit further down this page.

At your first appointment for normal permanent veneers, your dentist will take some impressions of your teeth, and send them to the laboratory to be cast in plaster, to create an accurate plaster model of your teeth, for planning.

Then the lab technician can see the shape, size and arrangement of your teeth, and can re-shape the problem areas by trimming away some plaster from the bits that stick out, and then use white wax to build up the teeth in an ideal shape and size, and straight, of course!

A white plaster model of upper teeth against a green backgroundThe plaster model showing a gap and uneven teeth.
A white plaster model of upper teeth against a white backgroundThe technician has reshaped the teeth and built up "new" ones with white wax, to show what might be achieved.

At the next appointment, your dentist will show you the before-and-after models, as in the photos above, and explain what he will need to do to achieve this result. For the re-shaping procedure, you will normally need some anesthetic shots. Then the dentist will trim down the outside surfaces of the "problem" teeth slightly.

Next, he will take the master impression for the laboratory to work with. After that, you will need temporary dental veneers, to protect the trimmed-down teeth, reduce any sensitivity to hot and cold, and to let you try out the new teeth shape proposed by the lab in the wax version.

Your dentist can do this by getting an impression of the wax teeth. (Normally the laboratory will do this beforehand). The your dentist can check that this impression fits back over your teeth correctly, without snagging on anything. Next, he take the impression back out of your mouth, and dries it carefully.

Then he can inject a tooth-colored liquid acrylic into the impression, and put it back over your teeth, in your mouth. The liquid acrylic will take up the shape of the wax teeth, and set hard in about 3 to 5 minutes.

Once the acrylic has set, your dentist can take the impression out of your mouth, leaving behind the acrylic, which has set onto your trimmed-down teeth in the shape of the wax teeth from the laboratory model. NOW you can see what your new veneers might look like!

Before and after photos of teeth that have been prepared for veneersThe natural teeth trimmed for veneers on the left, and the temporary veneers on the right. Image courtesy Dr. Spear.

In the image above, from top dentist Dr. Frank Spear, you can see that the temporary dental veneers on the right of the picture are actually joined together - there are no spaces between the teeth. This done so that the temporary veneers are in one unit, and can "grip" on to the teeth without any dental cement or glue.

That makes it much easier to take them out when it's time to fir permanent veneers. Of course, the permanent ceramic veneers are individual, so you put dental floss between all the teeth!

Apart from protecting your teeth during the time the laboratory needs to construct your new ceramic veneers, the temporary dental veneers let go home with an acrylic version of what the lab guy is making for you. This gives you the chance to see if the teeth are really straight, or if one is a tad long, or another one maybe a bit too short. AND if you can eat OK, without constantly hitting on some spot that's too big.

After a few days, you'll be able to tell the dentist if everything's OK, or if you want the final ceramic veneers to be a bit different in shape or size to the acrylic veneers.

Temporary Dental Veneers

WHEN might you NOT need temporary veneers when you're getting ceramic permanent veneers?

  • If your teeth are relatively small, and you want to build them out a bit - you can get "no-preparation" veneers (like Lumineers) which don't require any trimming down of your teeth. Your dentist just takes an impression of your teeth the way they are, and the veneers are made to go over the front of your teeth, making them slightly thicker.
  • If you're getting CAD/CAM veneers (also called Cerec veneers) where the teeth are trimmed down as normal, but the veneers are created immediately in the dental office with a high-tech system that mills the veneer out of a ceramic block.

WHAT ABOUT the "snap on smile" type of temporary dental veneers?

This is something quite different to conventional ceramic dental veneers. The normal veneers are individual, single teeth. Your dentist has to fit each one individually, and they are fixed permanently in place. You can floss between them. They are separate.

But the "snap on smile" type of temporary veneers are joined together, in a "U" shape, that fits over your natural teeth, without any shots, drilling, or trimming down of your teeth. They clip into place by gripping on your side teeth (premolars).

Because they are joined together in a single arch, you cannot floss between the teeth when you have them in place. You have to take the veneers out if you want to brush and floss your teeth properly.

Close up of a woman fitting a Snap On Smile over her own teethSliding the Snap On Veneers over the natural teeth

The 2 most prominent temporary dental veneer providers by mail order are InstaSmile (based in the U.K., but ship internationally), and Shiny Smile Veneers based in Houston, Tx.  I particularly like the website at InstaSmile - be sure to check it out, especially the before-and-after photos.

(I have NO financial nor business connection with InstaSmile or Shiny Smile Veneers - I just like their products.)

BUT what if you're worried about taking an impression of your own teeth - Can you get Snap on Smile veneers at a dentist's office?

Yes you can! But not all dentists are happy to do this procedure, because they worry about how this type of temporary dental veneers may look - will they look good? They also worry about how well you will be able to talk, drink and eat with the veneers in place. Basically, they are worried that you will blame the dentist if you don't like your new Snap on Smile veneers!

BUT the decision to go for Snap on Smile veneers is yours - all the dentist is doing is the impression stage, for which he will charge you - BUT the impression the dentist does is very likely to be higher quality than the one you try yourself at home!

However, there ARE dentists out there who will make your snap on smile veneers at their own laboratory. This is a bit less daunting for you, as you have someone to go to if you have a problem. The downside is that it will cost you a bit more than the online sellers.

One such dentist is Dr. Sam at Corona Village Dental in California. Here are some images that he uses on his website:

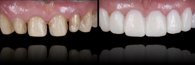
Before and after photos of a woman with a Snap On Smile.Image courtesy of Dr. Sam at Corona Village Dental, California.

What are the advantages?

  • Temporary dental veneers ("Snap on Smile") are much less expensive compared to conventional permanent ceramic veneers. Normal veneers can cost $500 to $1000 per tooth.  That's PER TOOTH!
  • There is no need for anesthetic shots.
  • You take your own impressions at home, and mail them out.
  • There is no drilling or trimming of your natural teeth; this means you don't have to go to a dental office, AND your natural teeth are not changed in any way permanently.
  • Snap on Smile veneers can also replace a missing tooth if you have a gap; up to 2 or 3 missing teeth is the usual maximum number, but more is possible in some situations. Conventional veneers cannot replace missing teeth - you have to get a dental implant or a fixed bridge = $$$

What are the disadvantages?

  • Snap on Smile veneers have to go over your own teeth, and they must be quite thin to look natural; this means if you have a sticking-out tooth, or front teeth that are angled forwards, this type of temporary dental veneer won't work.
  • As the acrylic material goes over your own teeth, the veneers will add a little to the thickness of your teeth. On some people, they may look bulky or fake.
  • These veneers are not fixed - they just snap or clip over your own teeth. So they are not a permanent solution.
  • The material is not as dense, strong or glossy as normal ceramic permanent veneers. Over time, the color may fade slightly, or they may become stained from drinking coffee, tea, dark sodas, red wine, and smoking, for example. Ceramic veneers are much more resistant to staining.
  • You'll have to get new ones made every 12 to 24 months, on average, although it depends on how much you wear your veneers, and how much you eat with them in. Normally, you should only eat soft things with your Snap on Smile veneers.

SO, if you have a few dental issues such as pitted, stained tooth enamel, discoloration, gaps or small teeth, and you are wondering how things might look if you got permanent ceramic veneers, but aren't confident to go ahead, temporary dental veneers like a Snap on Smile from InstaSmile can give you a very good idea of how things would like for a fraction of the price.

You could wear the InstaSmile temporary dental veneers for a year or 2 to make sure you're happy with how things look before paying for more expensive permanent veneers.

If you're NOT happy with how things look then you've saved yourself a lot of money, and you know that you'll need to look at other options beyond veneers to make a significant improvement in your smile, such as crowns (caps), fixed bridges and/or dental implants.


Back to Top


  1. Dental Advice
  2. Veneers For Teeth
  3. Temporary Dental Veneers