How To Close
Gap Teeth



If you're wondering how to close gap teeth, you're on the right page!

What can you do about a gap between your front teeth? Quite a lot! There are a couple of options for getting rid of your front teeth gap. But first, let's take a look at why you might have a front tooth gap in the first place.

How To Close
Gap Teeth

Causes

  • The teeth just grew like that". This is the way your teeth developed, and there is no particular reason why you have a gap between your front teeth.
  • Some teeth are missing. Maybe they never grew, maybe you had them pulled when you were young, and the others didn't line up to completely get rid of the gap.
  • Gum disease. If you have noticed gaps starting to appear between your front teeth, and you're over 40 years of age, then you might well have gum disease.
A woman with a gep between her front teethA natural gap between the front teeth

What ways can you eliminate a gap between the front teeth?

If you DO have gum disease, then any of the following treatments won't last long. Your teeth will continue to drift, and the spaces will start to open up again. So the correct thing is to ask your dentist specifically about gum disease. Get him to check your gums, and refer you to the dental hygienist. In addition, take a look at how to fight gum disease.

A big gap between upper front teetha gap between the front teeth caused by gum disease

Assuming your gums are healthy, you have 2 options to close a gap between teeth. You can either move the teeth to close the gap (or gaps), or else you can leave the teeth where they are and fill in the gaps with something. These are the two ways of eliminating a gap in your front teeth.

How To Close
Gap Teeth

Option 1:

Moving the teeth will mean getting braces from an orthodontist. In order to close a gap, this will most likely be a brace that is fixed to your teeth for 6 to 12 months. In some ways, this is the best treatment.

If you close a gap between front teeth by moving the teeth together with braces, the result is likely to be very stable (as long as you wear your retainer!), and your front teeth will be as healthy as before, with the surface tooth enamel untouched.

Option 2:

Filling in the gap with "something" can be done in one of 2 ways.

The quick, simple, and cheaper option is to get "composite bonding" on your teeth. In this procedure, there's no shots and no drilling. The dentist just uses a very strong dental glue (a bonding agent) to build up little sections of tooth-colored filling material.

Upper front teeth with some gapsbefore
Upper front teeth after composite bondingafter

If he adds just one millimeter of filling material to each tooth on either side of the gap, he will have reduced the space by 2 millimeters!

An additional advantage of this technique is that it is reversible. If you don't like the new look, the dentist can simply polish off the filling material and put you back where you were at the start. He hasn't made any permanent changes to your teeth.


How To Close
Gap Teeth

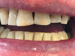
SOMETIMES you can get a gap between front teeth caused by tooth decay. Here is a photo of a situation like that;

Broken upper front teeth with gapsbefore

The lower photo is the "after" photo, where we have filled the cavities and also the gap in front teeth with tooth-coloured filling material. Much better!

Upper front teeth after composite bondingafter

The other way of closing gaps in your front teeth is with veneers (also called porcelain laminates or laminate veneers). These are like thin shells of dental porcelain that are bonded on to the fronts of your teeth.

Upper front teeth with dental veneersveneers to treat a gap in front teeth

They are made in a dental laboratory, or sometimes in the dental office with a Cerec machine - read more about this at cerec veneers. They can be made slightly wider than the teeth behind them, so that they close up any gaps or spaces.

But getting veneers DOES mean that the tooth enamel on the fronts of the teeth involved will be ground down. This is usually less than a millimeter, but it is a permanent change. Once you get this done, your teeth will have been changed forever, and you will always need veneers on them.

When your first veneers get worn or chipped after 10 to 15 years, you will need to get them removed and get new ones made. And the same again 10 to 15 years later.

Remember to check out my top recommended electric toothbrush, which has the best performance and a great price at Amazon - the Cybersonic 3 brush.

cybersonic 3 toothbrush

Here are some photos of ceramic veneers, to show how small and thin they are;

A dental veneer being held between a dentist's fingersveneer
A dental veneer being held between a dentist's fingersveneer

So think carefully about getting veneers! They can make a HUGE difference to a person's smile, but they DO NOT last forever, and need re-doing from time to time.

How To Close
Teeth Gap

If you have some other issues with your front teeth, such as color and position, as well as a gap in front teeth, you may need to see a specialist cosmetic dentist. Veneers designed and fitted by a cosmetic dentist will have an extra degree of "vitality", and look very natural, even when fixing complex tooth problems. You can read more about cosmetic dentist veneers HERE.

The BEST way of fixing a gap in front teeth is usually by getting orthodontic treatment from an orthodontist. Wearing tooth braces takes longer than the other methods, but your teeth still have their own enamel on them afterwards, and there's nothing to chip or crack or need replacing in later years. Providing you wear your retainers! If I had to choose a method for fixing a gap in front teeth for one of my family members or friends, then I would definitely check out the possibility of braces with an orthodontist.

Back to Top


  1. Dental Advice
  2. Perfect Teeth
  3. How To Close Gap Teeth