Dental Implant
Failure



. . . And What You Can Do To Minimize The Risks!

I have seen dental implant failure in lots of situations, in different patients, under different conditions. Sometimes the advertising for dental implants gives the impression that they are ALWAYS 100% successful. But they are not.

There is ALWAYS a small risk of complications and failure, as with ALL surgical procedures.

Dental implant failure occurs when a dental implant does not become properly fused to the bone, starts to become loose or painful, and must be removed.

When ANY dental implant is done, there is ALWAYS a 3% to 5% chance of failure. It doesn't matter if it was done in some fancy-pants implant institute in Switzerland or by a general dentist in Smalltown, or by the leading Professor in New York.

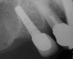
X-ray of a dental implant next to a natural tooth root.dental implants - at risk of failure?

This failure rate is worldwide. If you are thinking about getting dental implants, you will have to accept this small risk of dental implant failure. And that is under ideal conditions!

Dental Implant Failure
- the Risks

There are also a few EXTRA things that can INCREASE the risk of a failure:

  • Smoking. If you smoke, you increase the chances of dental implant failure. The chances of damage are highest in the days and weeks following the implant surgery.

But it's important to understand how smoking affects healing. Basically, smoking shuts down the little blood capillaries, reducing the flow of blood and therefore oxygen to your gums. This doesn't happen the instant you inhale a cigarette. It's an effect that builds up over years of smoking.

So giving advice about not smoking for at least 2 weeks after dental implant surgery is actually useless. If you have smoked for several years beforehand, the damage is already done. You already have a reduced blood supply to your gums.

The better advice would be to quit smoking completely, and wait 12 months for the blood supply to your gums to recover before doing any implants.

  • Gum disease. If you are having a dental implant to replace a tooth that became loose due to gum disease, the failure rate is also higher. We think that this is due to the high level of inflammation in the gum tissues that persists for a few months EVEN AFTER the loose tooth has been removed. It's better to WAIT 3 months before getting the implant.
  • Tooth clenching or grinding (bruxism). Clenching or grinding your teeth at night can affect an implant. It may start out feeling good and solid, but it may gradually become loose after a period of time. The high forces that humans can generate on their teeth while they are asleep is amazing. And also puts a lot of stress on the bone around a new dental implant.
  • Diabetes. If you are diabetic, you will know that you tend to heal up a little slower than normal. This delayed healing process can contribute towards the failure of a dental implant. Read more about this at Diabetes and gum disease.
  • Bisphosphonate therapy (for osteoporosis). If you have osteoporosis and have been given a class of medications called "bisphosphonates", then your general rate of healing may also be delayed. This is rare for the medications taken by mouth, but more common if you have had bisphosphonates by injection over a period of time. Read more at Jaw Bone Infection.


Dental Implant Failure

How do I know if my implant has failed?

There are several pointers to dental implant failure, all linked to the fact that the implant is not firmly embedded in the jawbone:

  • The implant will become loose. If it is supporting a single tooth, the movement will be obvious. If it is connected to part of a bridge, then you will probably not notice any movement at first, as it is being held in place by the rest of the bridge.
  • The gum may shrink back from around the implant, exposing the metal surface of the implant itself.
  • You may get some slight swelling of the gum over the implant, either a small bump or perhaps a more generalized puffy gum area.
  • You may have some discomfort around the implant. Frequently there is no pain. Just a sense of discomfort.

A dental implant can fail at almost any time.

Generally, the risk is highest at the moment the implant is put in, and over the next 30 days. Then the risk declines as the months go by. If all is well after 12 months, the risk is much less, but it never goes to zero!

A dental implant may start to fail almost from the minute it is put in, OR ten years later! Here are a few situations that can occur;

1. The implant was not fitted tightly enough into the jawbone. Sometimes the bone can be relatively soft, and when the dentist gently screws the implant into place, it just keeps turning without getting a firm grip. The dentist may refer to it as a "spinner", because it spins around and around without becoming tight. There is not much the dentist can do to improve things.

Normally, the implant should be taken out immediately, and either a bigger implant fitted, or a bone graft added and allowed to heal for 6 months before trying again.

Sometimes, though, the dentist may feel that there is just enough grip for the implant. JUST ENOUGH for healing to start. But he doesn't know for sure. ONLY TIME WILL TELL.

2. If the implant has been fitted tightly, you are off to a good start! However, during the healing phase, there are some other possible problems. As with any surgery, it is possible for infection to get in. Apart from causing some discomfort , any infection can prevent the bone cells from growing around the implant. It will not become "fused" to the bone. When the dentist inspects the implant after 3 to 4 months, he will find that it is slightly loose. It will wobble a bit.

Leaving it any longer will not change anything; the implant should be removed, and either replaced by a slightly larger implant, or bone grafting added and allowed to heal for 6 months before trying again.

3. Once you get your new crown or bridge fitted to the implant, you may think you're home and dry! But not quite. If you get past 12 months, then the chances of dental implant failure are very small. But not zero. I have seen some implants work loose after 5 or 10 years.

This type of failure is also called "late failure". It is sometimes due to a long-standing peri-implantitis caused by plaque bacteria collecting under the gum around the implant.

As well as careful flossing under the gum, this can be prevented by using a high-quality toothbrush slowly around the implant each day. I think one of the most suitable is the Cybersonic3.

So, dental implant failure can occur at any time. But generally inside the first 12 months. This 3% - 5% failure rate is "the nature of the business". Your dentist has a responsibility to explain this to you before treatment; and YOU have a responsibility to accept that risk if you want to have dental implants!

Here's an article form the Journal of Implant Dentistry about dental implant failure.


You might like these

Back to Top


  1. Dental Advice
  2. Cost of Dental Implants
  3. Dental Implant Failure