What does a dental crown cost? When your dentist has recommended a dental crown, cost will be one of your first concerns.
As with most things in life - it depends! There are many factors that are involved in the cost of a dental crown. Some are to do with the length of time and the complexity of the dental appointments involved. BUT MOSTLY, dental crown cost is to do with the MATERIAL that the crown is made of.
Did you think that all crowns were made from the same material?
That's not true. Here's a list of the most common types of crown material.
Let's look at the reasons why you might want a particular type of crown, and how the material will affect the dental crown cost.
Gold crown.
This could be considered a little old-fashioned, but there is absolutely no doubt that a full gold crown is the best option for the back molar teeth.
Why would that be?
It's because a gold crown can be REALLY thin. This means that the dentist only has to trim down your tooth a little bit. This is the MOST conservative type of crown! All other types of crown require the dentist to trim the underlying tooth down quite a bit more.
Also, the gold alloy is extremely strong, but at the same time it wears down at a rate slightly faster than tooth enamel. This means that it will not wear down the opposite tooth - the one it bites on.
A gold crown on a second molarThis is very important, because just about every other type of dental crown material WILL wear down the opposite tooth. The only disadvantage with a gold crown is the color. Most folk would prefer NOT to have a "gold tooth". BUT if the gold crown is on your very last molar (ie. at the back), it will NOT be visible.
We call these back teeth the "second molars". The only tooth that may be behind a second molar is a wisdom tooth. And that's the end of the line - no teeth further back than that! This distinction about second molars and first molars is important, because the bite forces on the second molars is significantly higher than on the first molars. So we want to have the strongest material possible back there.
I find that a lot of patients hear the word "gold" and assume that it's going to be really expensive. But that's also not true. Dental crown cost is NOT down to just the material alone. A gold crown may actually be the "cheapest" option, for several reasons;
1. It's not a pure gold crown. Pure gold is relatively soft, and it would wear down quite rapidly in the mouth from biting. So we use a gold alloy, where the gold is combined with other metals. The gold content in a dental alloy is relatively low, usually 5% to 20%.
2. The gold crown can be extremely thin, because it's so strong. If the crown can be thin, then it doesn't need much gold alloy to actually make the crown.
3.
A full gold crown takes up the LEAST dental laboratory time. It's fast
to make up, easy to trim and a dream to polish. Dental technicians like
to work with gold alloy, because it is not as technique-sensitive as
some other hi-tech materials, and the whole process of constructing a
gold alloy crown is relatively simple and fast.
Less dental laboratory time means lower dental crown cost! Most gold crowns will cost from around $500 to $750, depending on where you live, if you are paying 100% out of your own pocket.
Full contour Zirconia
This crown material is most often used on molar teeth, too. It's a relatively new, recent development. Zirconia is technically a trans-metallic compound, but it is tooth-colored. It is extremely strong, and has the nickname "ceramic steel".
Although it is basically tooth-colored, it doesn't really look like a tooth, because it's very opaque. It looks more like a chalky tooth. For this reason, it is best used on molar teeth at the back of the mouth. NOT on the very back molars, but the next ones forwards. The first molars.
Zirconia is not as strong as a gold alloy crown, and the biting forces in your mouth are highest at the very back. Some people may have a bite heavy enough to crack zirconia. So, the best option is to keep gold alloy crowns for the very back teeth, and use a more tooth-colored material for the next molars forwards - the "first" molars.
It is possible to improve the appearance of the zirconia crown by either painting the surface with tinted glazes, or by adding a layer of traditional dental porcelain ("ceramic") over the surface of the crown. This is done if the teeth are more visible, towards the front of the mouth, and have to look like natural teeth.
The disadvantages of zirconia crowns are that the construction process is complicated, time-consuming and requires special equipment. This makes zirconia dental crown cost relatively expensive, compared to other crowns. Also, if you get one with porcelain bonded to the surface to improve the appearance, there is the possibility of that surface layer coming off.
Oddly, there is no chemical bond holding the normal porcelain onto the zirconia. It just stays on by micro-mechanical bonding, where the porcelain gets into all the microscopic nooks and crannies of the zirconia surface.
So, although a porcelain-bonded-to-zirconia crown might seem to offer the strength of zirconia and the great natural tooth appearance of dental porcelain, it's not quite as strong as you may think. There is a small risk of that surface porcelain cracking or flaking off the underlying zirconia.
If you tend to grind or clench your teeth in your sleep, you'd be better with simple gold alloy for the very back teeth ("second molars"), and zirconia for the first molars, slightly further forward in your mouth.
The cost of these crowns is usually higher than for gold, from around $600 to around $900, depending where you live, and if you are paying 100% of the costs yourself.
Porcelain bonded to metal
This crown is basically a thin metal alloy cap or thimble that is then covered with dental porcelain to make it look like a tooth in shape and color. The technology to bond ceramic to a metal surface was first developed in West Germany in the 1960s, and used the initials VMK, which stands for "verbund metal keramik".
This technology has been developed and improved over the years, and is now very reliable in terms of the porcelain staying on the crown, and also in terms of getting a natural tooth-like appearance.
The porcelain has a stronger bond to the underlying metal than the porcelain covering a zirconia crown. So it's very unusual to see a problem where the porcelain comes off the metal substructure.
BUT
it's still possible for the porcelain itself to crack or flake off.
This only happens where there has been an error in the laboratory
process, of if you accidently bite on something extremely hard, like an
olive stone. Porcelain bonded to metal crowns are extremely strong and durable!
These crowns can be used on any teeth, front or back, and are pretty much "the standard" when it comes to getting crowns. They are cheaper to make than the zirconia crowns, but may not look quite as natural on front teeth, depending on the skill of the dental technician.
The main disadvantage of porcelain bonded to metal crowns is the appearance, if you are very critical. That grey metal under the porcelain is hard to hide, sometimes resulting in the crown look a little opaque, as it cannot transmit and reflect light in the same way a natural tooth does.
You can also get a fine grey line appearance at the gum edge. The gum just looks a little grey where the crown meets the gum.
But this is being very critical. This crown material was the Standard for many years due to it's strength and durability, and they looked pretty good, too! Any other material (such as full porcelain) was relatively fragile, up until around the 1990s. That's when stronger ceramics such as E-max, zirconia and Cerec srated to prove they could be strong enough.
The dental crown cost will be similar to a gold crown, from around $500 to $750, depending where you live, and assuming you are paying the total cost out of your own pocket.
porcelain bonded to metal crown
inner side of a porcelain bonded to metal crownFull porcelain crown
This crown is used when we want to get as natural an appearance as possible. It is made by building up multiple layers of dental porcelain to create the look of a natural tooth. When comes to getting the layering right, this demands great skill from the dental technician.
While this type of crown can look great, the main disadvantage is that it is not as strong as the other crowns listed above. It can really only be used on the front six teeth (the incisors and the canines or "eye teeth").
In the last 20 years we have been able to improve the way these crowns are fitted, by using dental bonding agents to create a true chemical bond between the tooth surface and the inside of the crown. This helps to make the full porcelain crown stronger, but it's important to remember that this type of crown is nowhere near as strong as a natural tooth!
A ceramic crown, next to a gold crownPressed Glass - E-max
This is just one trade name for a crown made from a material called "glass ceramic". It starts off in the dental lab as a glass, but when it is heated and cast into a tooth shape for a crown, it undergoes a process called "ceramicisation", and becomes a type of ceramic.
Pressed glass crowns like the E-max have no metal inside, and the glass ceramic has a translucency similar to a natural tooth - which means that it reflects and transmit light in a similar way to your own teeth. This makes them look very lifelike. Look at how natural the e-max crowns appear in the photos below!
before
after E-max crownsPressed glass crowns carry the promise of being very strong and durable, while being tooth-colored. Again, like Zirconia crowns, Empress crowns need to have the surface treated in some way, to get them look like a natural tooth. This is done with a surface glaze. The appearance can be superb.
The main disadvantage with pressed glass crowns is that they cannot be too thin, otherwise they may break. They need to have a thickness of at least 1.5mm, preferably more. That means the dentist has to drill down your tooth by 2mm on all sides.
This is more than needed for most other crowns, and while a bigger tooth with more bulk (like a molar) can withstand being reduced in size by 2mm on all sides, a small tooth like a first premolar will be more traumatized by this degree of drilling. This can possibly lead to the tooth needing root canal later, or the tooth itself fracturing.
But look at the amazingly lifelike tooth appearance of the bridge below!
A 3-tooth bridge in E-max.
Image courtesy Ivoclar VivadentCerec Crown
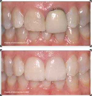
These crowns are made using the Cerec technique, invented in Switzerland by Prof. Mormann. This involves cutting-edge computer-aided design, with a miniature camera to get an image of the tooth to be restored, and a computerized dental milling unit to mill out the crown from a solid block of dental ceramic. You can read more about this technique at Cerec Veneers.
A Cerec crown is 100% ceramic - it does not have any metal inside it at all. This means it can look very lifelike and very natural. The unique thing about a Cerec crown is that all the work is done in the dental office - a dental laboratory is not required.
The dentist can do all the work, while you wait. You only need one appointment to get your new crown, from start to finish. BUT this appointment will be quite long, with a 15 minute break in the middle while the CAD/CAM milling machine mills your new crown out of the ceramic block.
Before and after Cerec crowns on the 2 front teeth. Image courtesy Cambridge Dental Hub, U.K.A little confusingly, there is now some cross-over between all the materials mentioned so far. For example, you can now get zirconia ceramic blocks that can be used in the Cerec milling unit!
Nevertheless, getting a Cerec crown will generally be a bit more cost-effective (ie. cheaper) than a crown made in the dental laboratory, as there are no lab feees to pay, and the dentist is making more efficient use of his time.
Dental crown cost for Cerec crowns? Expect from $350 to $650, depending on your dentist.

Root canal crown
This not so much a material, but more a type of crown design to restore a root-filled tooth. You can read more at Root Canal Crown. The dental crown cost will be slightly higher than for a standard crown, as there will frequently be some sort of gold alloy anchor post, or a titanium screw post, into the root canal to help hold the crown in place.
Implant crown.
Finally, there is the dental implant crown. As it's name implies, it is used to build up the final "tooth" on top of a dental implant. The technical details vary, depending on how the crown will be fitted to the implant, but in terms of basic materials, they are almost always porcelain bonded to metal crowns.
However, because they are more complicated to construct than standard bonded crowns over a natural tooth, they are more expensive. They probably have the highest dental crown cost. Read more about this type of crown at Dental Implant Crown.
What other factors affect dental crown cost?
So there are several factors that contribute to dental crown cost. Each type of material has it's own advantages and disadvantages; in general, my advice would be to stay away from cheap crowns. They will be cheaper for a reason.